척추측만증(Scoliosis)은 척추가 옆으로 휘는 변형을 말하며, 아이가 성장하면서 증상이 악화될 수 있습니다. 특히 성장기에는 골격이 빠르게 자라므로, 부정한 자세가 굳어지거나 측만 각도가 급격히 증가할 수 있어 조기에 발견하고 교정하는 것이 매우 중요합니다. 이번 글에서는 소아 척추측만증의 특징과 원인, 진단 및 교정 방법, 생활습관 관리 팁을 정리해보겠습니다.
≣ 목차
소아 척추측만증의 특징과 원인


1. 성장기 급성장과 함께 진행
✅ 보통 10~15세 전후 사춘기 급성장기에 증상이 나타나거나 악화.
✅ 여성에게서 발병률이 남성보다 높으며, 골반·허리 변형이 성장과 함께 진행될 가능성이 큼.
2. 원인
✅ 특발성 척추측만증 : 전체의 약 80% 이상으로, 명확한 원인이 밝혀지지 않았음. 유전·호르몬·근육 이상 등 복합적 요인 추정.
✅ 기타 원인 : 신경근 질환(뇌성마비), 선천적 척추기형, 외상, 종양 등.
3. 어린 시절 자세·습관 영향
✅ 한쪽 어깨에만 책가방 메기, 짝다리 짚기, 장시간 구부정 자세 등이 척추균형을 깨뜨려 측만증 발생 위험을 높일 수 있음.
✅ 다만 자세만으로는 경도 측만증 정도에 영향을 주는 경우가 많고, 중증 측만증은 주로 구조적 이상이 함께함.
진단과 검진 방법
1. 자가검진
✅ 부모가 아이 뒷모습을 관찰해 어깨 높이 차이, 견갑골(날개뼈) 돌출, 허리선 불균형 등을 체크.
✅ 아이를 허리 숙이게 해 등 높이가 한쪽이 올라갔는지(Adam’s forward bending test) 보는 방법.
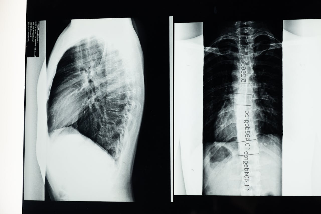
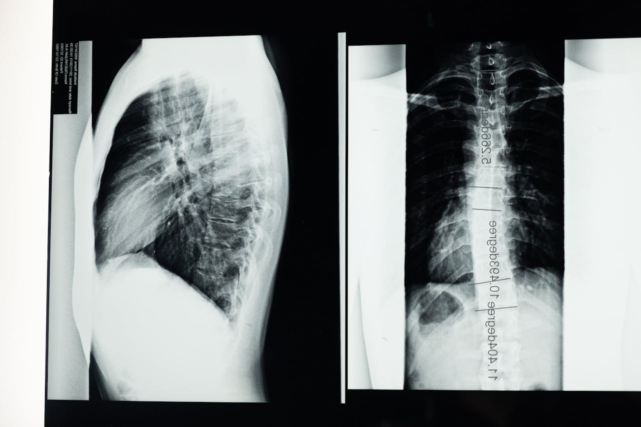
2. X-ray 촬영
✅ 병원에서 척추 전후·측면 X-ray 촬영으로 Cobb각(척추 만곡도) 측정.
✅ 만약 Cobb각이 10° 이상이면 척추측만증 진단, 20° 이상이면 보조기 착용이나 적극적인 치료 고려.
3. 정기검진 권장
✅ 성장기에는 6개월~1년 간격으로 주기적으로 검사해, 측만각 증가 여부 확인.
✅ 조기에 발견하면 교정치료 효과가 훨씬 큼.
교정 방법: 보조기·운동·수술 등
1. 보조기(Brace) 착용
✅ 측만각이 20~40° 정도이면서, 성장판이 열려있는 환자에게 적용
✅ 보조기를 하루 18~23시간 착용해 만곡 진행을 억제
✅ 아이의 협조도·착용 시간 준수·정기 검진으로 교정 효과 모니터링
2. 운동·물리치료
✅ 척추 주변 근육 강화(코어 운동, 필라테스, 맨몸 근력 운동), 균형 감각 훈련, 자세 교정 운동
✅ 전문 재활치료(슈로스 방법, 도수치료 등)를 통해 측만 특성에 맞춤형 접근 가능
3. 수술
✅ 측만각이 40~50° 이상으로 심하거나, 통증·미용상 문제·호흡장애 위험이 큰 경우 척추 고정술 등 수술 검토
✅ 성장기 아이에겐 유연성 유지와 만곡 교정 사이 균형을 고려해야 함
성장기 자세 교정이 핵심
1. 올바른 책상·의자 높이
✅ 아이가 공부하거나 PC 사용할 때, 허리를 세운 자세로 앉도록.
✅ 책상의 높이나 모니터 위치가 불편하면 구부정 자세 유발.
2. 가방 메는 습관
✅ 한쪽 어깨 가방보다 양쪽 어깨로 메는 백팩 권장. 무게는 체중의 10~15% 이내가 이상적.
✅ 교과서나 물건을 균형 있게 넣어 무게 중심이 한쪽에만 치우치지 않도록 함.
3. 적절한 운동·활동
✅ 꾸준한 유산소 운동(걷기·수영)과 약간의 근력 운동으로 뒷근육 강화.
✅ 짧고 자주 스트레칭(뒤로 젖히기, 골반 교정 운동)으로 유연성 확보.
4. 신발·매트리스 선택
✅ 발이 편안한 신발(너무 높은 굽·편평화된 신발은 문제)
✅ 매트리스는 너무 푹신하거나 딱딱하지 않은 중간 경도 추천
생활습관 및 예방 팁
1. 한 자세 오래 유지 금지
✅ 1시간 이상 같은 자세로 앉아있지 말고, 주기적으로 일어나 몸 스트레칭
✅ 스마트폰 사용 시도 눈높이 맞추고 목·어깨 긴장 풀어주기
2. 체중 관리
✅ 과도한 체중은 허리·골반에 부담, 반면 저체중이면 근육 부족으로 척추 지지력 약화
✅ 균형 잡힌 식단·운동으로 적절한 체중대 비율 유지
3. 부모 역할
✅ 아이가 구부정하거나 한쪽으로 치우친 자세가 관찰되면 가볍게 피드백
✅ 너무 자주 잔소리하지 말고, 놀이·운동과 연계해 자연스럽게 자세 교정 유도
결론
소아 척추측만증은 성장기 자세 교정이 핵심으로, 조기에 발견해 보조기·운동 치료 등을 진행하면 대부분 증상 악화를 방지할 수 있습니다. 바른 앉기·서기 습관, 꾸준한 근력 운동, 교정 장치 착용 등에 적극 참여하고, 정기 검진으로 만곡 변화를 확인한다면 아이가 건강하게 자라며 척추 변형 위험을 줄일 수 있습니다.
의료 정보 안내 : 본 글은 일반적인 건강 정보를 제공하기 위한 것으로, 아이 상태나 기저 질환에 따라 치료법이 달라질 수 있습니다. 정확한 진단·상담을 위해서는 정형외과·재활의학과 등의 전문가와 상의하시기 바랍니다.







